Te invitamos a disfrutar de nuestras limpiezas dentales profesionales, diseñadas no solo para dar brillo a tu sonrisa, sino también para fortalecer tu salud bucal. Piensa en estas limpiezas como un complemento a tu rutina diaria de cepillado y uso de hilo dental; son como un mimo extra para tus dientes, realizadas con cariño y sin dolor.
La prevención es clave para mantener una boca sana, por ello la limpieza bucal que se realiza en la clínica se refiere a la profilaxis, que tiene una función preventiva y no causa nada de dolor. Si el paciente mantiene buenos hábitos de higiene dental y acude cada seis meses a su limpieza, es probable que solo necesite este tipo de tratamiento.
Es importante contar con una revisión dental previa y en caso necesario se realizará un tratamiento más específico.

¿En qué consiste una limpieza bucal?

En la Clínica Dental David Cardona, ofrecemos limpieza dental profesional para mantener una buena salud bucal.
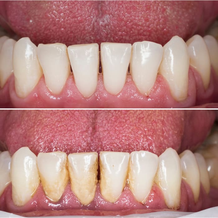
La limpieza dental consiste en la eliminación de la placa bacteriana, manchas y sarro que se encuentra en la boca del paciente. Para una profilaxis completa, nuestros higienistas utilizarán el ultrasonido, cepillos de profilaxis con pastas pulidoras, el spray de clorhexidina y el flúor tópico. Siempre después de una profilaxis, nuestros higienistas explicarán al paciente la técnica de cepillado más adecuada para su caso.
En casos en los que se ha acumulado mucho sarro y placa bacteriana, puede ser necesario el uso de anestesia para evitar molestias en el paciente. También se puede usar en casos de especial sensibilidad dental.
Los dentistas en la Clínica Dental David Cardona recomendamos cuidar bien la higiene bucal, ya que las bacterias que se depositan en los dientes, encías o lengua pueden traducirse en infecciones serias.
No solo se trata de cuidar la salud dental, sino también la salud integral, ya que los problemas de salud dental pueden trasladarse a otras áreas del cuerpo si no se tratan a tiempo. Es importante acudir a revisiones regulares y realizar limpiezas profesionales para mantener una buena salud bucal.
¿Qué dicen nuestros clientes?
En nuestra clínica dental de Zaragoza creemos que la opinión de nuestros pacientes es la mejor prueba de la calidad de nuestros servicios
Profilaxis paso a paso:
En la Clínica Dental David Cardona, ofrecemos limpieza dental profesional para mantener una buena salud bucal. La limpieza dental es un tratamiento preventivo que consiste en la eliminación de la placa bacteriana y el sarro que se encuentra en la boca del paciente. Es esencial para prevenir enfermedades de las encías, caries y mal aliento, y para mantener una buena apariencia dental.
La limpieza dental se divide en varias fases:
- Detección de placa: Mediante un instrumental como la sonda, explorador, espejo, aire… y/o agentes químicos como el revelador de placa, se detecta la presencia de placa bacteriana en los dientes y encías del paciente. Con el revelador, el paciente puede comprobar donde se encuentra el cálculo/placa, al teñirse de un color llamativo, pudiendo asimilar mejor el manejo de las técnicas de higiene oral correctas (cepillado, seda dental, interdentales…) y saliendo de la consulta con una alta motivación.
- Eliminación de cálculo / Placa bacteriana: Se empleará un ultrasonidos (aparato eléctrico que produce ondas sonoras de alta frecuencia) que fractura y desprende los depósitos de cálculo sin dañar el diente. Siempre va acompañado de un chorro de agua para refrigerar la punta de ultrasonidos, que está en contacto directo con el diente, ya que ésta produce una gran cantidad de calor, además de arrastrar la placa
- Pulido: una vez eliminada la placa bacteriana pasamos a pulir la superficie del diente para eliminar las manchas y dejar una superficie lisa.

Tratamiento en pacientes con mucho sarro acumulado o con enfermedad periodontal
En la Clínica Dental David Cardona, ofrecemos esta opción de tratamiento en dos sesiones para pacientes con sarro acumulado o que llevan mucho tiempo sin realizar una limpieza dental.
Durante la primera sesión se realiza la limpieza de la parte superior de la boca y en la segunda sesión se limpia la parte inferior. De esta manera, se garantiza que se limpia toda la boca de manera profunda y eficaz.
Además, en caso de enfermedades periodontales, ofrecemos el tratamiento de raspado radicular o curetaje. Este tratamiento consiste en limpiar con anestesia de manera profunda todo el sarro que se encuentra debajo de la encía y que es responsable de la enfermedad. Es un tratamiento eficaz para tratar enfermedades periodontales y mejorar la salud bucal del paciente.
Precio Limpieza bucal en Zaragoza
En Clínica Cardona, ofrecemos limpieza bucal en Zaragoza por solo 50€. Nuestro servicio de limpieza dental garantiza una higiene completa y eficaz, eliminando placa y sarro para mantener tu sonrisa saludable.
Actualmente contamos un paquete integral por tiempo limitado de limpieza dental + blanqueamiento dental por tan solo 260 €, precio cerrado.
Descuento adicional del 30% si dispone de férulas (retenedores removibles) Precio con descuento: 180 €.
Este paquete incluye:
Limpieza dental, 5 jeringas de blanqueamiento, acompañadas de férulas personalizadas. Durante las primeras 2 semanas del tratamiento, se utilizarán 3 jeringas, mientras que las 2 restantes podrán emplearse un año después para mantener un blanco natural duradero.
Si tiene cualquier duda adicional puede llamarnos sin compromiso y resolveremos todas sus preguntas.
Contamos con profesionales especializados y tecnología de última generación para brindarte resultados excepcionales. ¡Cuida tu salud bucal al mejor precio en Zaragoza con Clínica Cardona!
SOLICITA TU CITA DE VALORACIÓN GRATUITA
En Clínica Cardona, tenemos el compromiso de que sigas sonriendo como siempre.
Nuestro equipo está listo para atender tus preguntas, programar citas y ofrecerte toda la información adicional que necesites.
Si quieres más información acerca de algún tratamiento o quieres que te llamemos para programar una cita puedes rellenar el formulario, trataremos de llamarte lo antes posible.
Reserva tu cita hoy:
Encuentra el tratamiento ideal para tu sonrisa
